올겨울 감기가 심해지면서 코로나 감염과 독감뿐 아니라 감기 환자도 폭발적으로 늘고 있다.
이와 함께 폐렴 환자도 확실히 늘고 있다.
지난주 소나만내과 원장 한 분께서 진단하신 폐렴 4번째 사례입니다.
성별/연령도 다양합니다.
특징적인 소견은 기침이 매우 심해서 X-ray를 찍다가 발견되었습니다.
솔직히 정답을 알고 청진을 해보아도 명료한 폐음이 들리지 않는 경우가 3가지나 된다.
폐음이 비정상인 82세 남성은 원래 폐질환이 있는 사람으로 평소 폐음이 좋지 않아 큰 차이가 없었다.
기침 가래가 오래 지속되면 흉부 엑스레이를 촬영하는 것이 좋습니다.
그리고 1~2주 전에는 정상이었다고 하더라도 증상이 악화되면 재점검을 받아야 한다는 사실을 염두에 두는 것이 좋다.
.
.
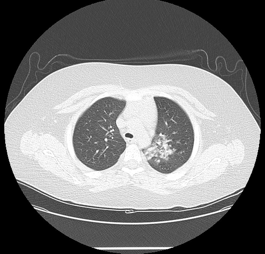
11살 소년


왼쪽부터 오른쪽 상엽으로 퍼진 흉부 X선, 흉부 CT 단면, 종단면
.
66세 여성


왼쪽부터 우상엽/하엽 폐렴 진단 당시의 흉부 엑스레이, 치료 4일째, 치료 1주째
.
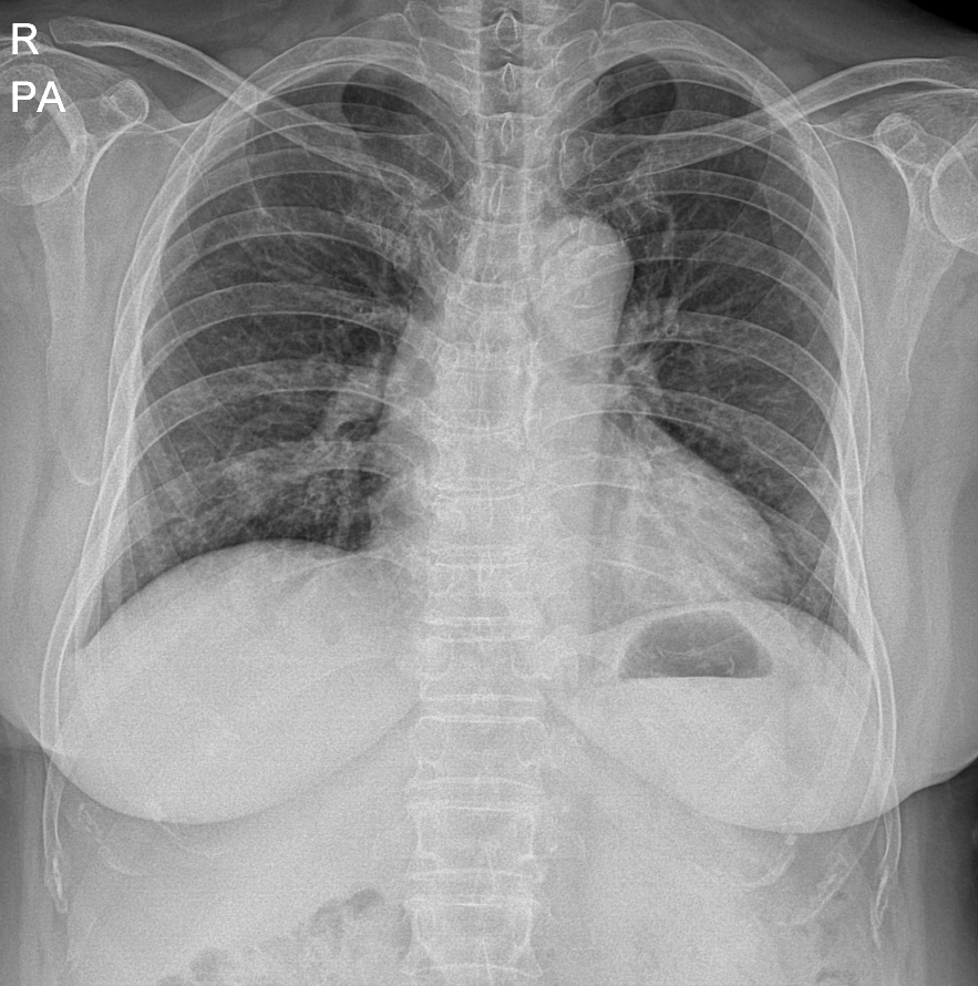
82세의 남자

왼쪽부터 폐렴 전 7개월 흉부 엑스레이, 진단 당시 좌상엽 폐렴
.
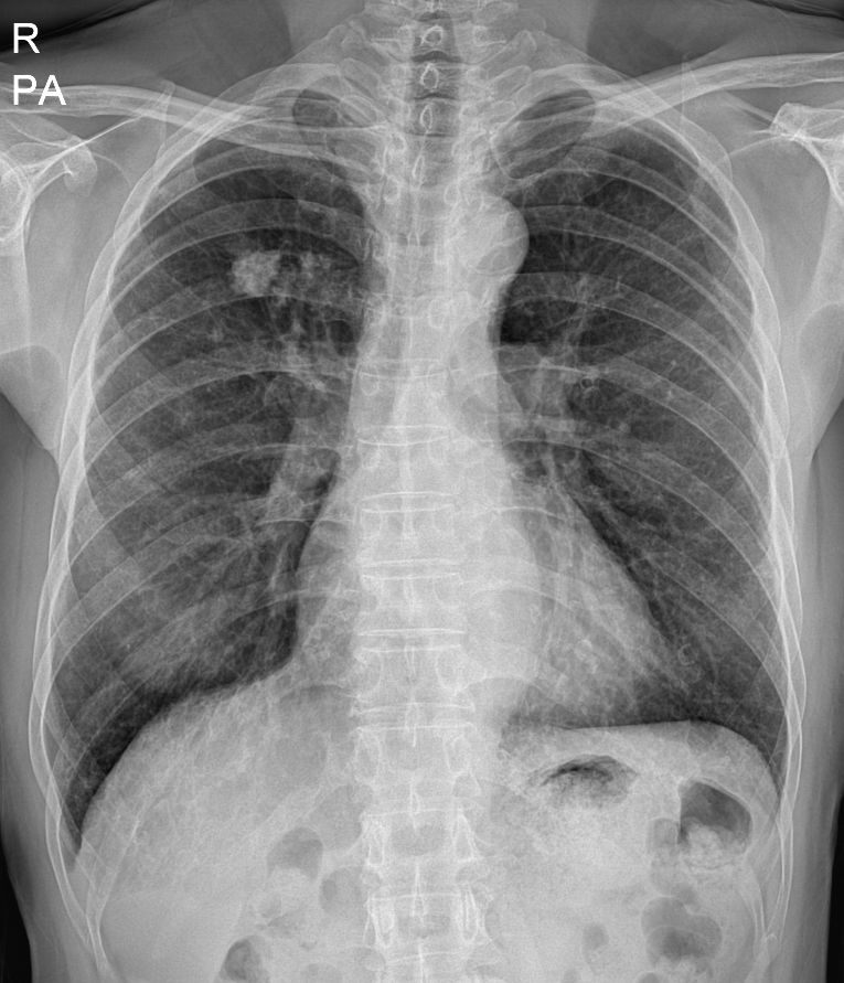
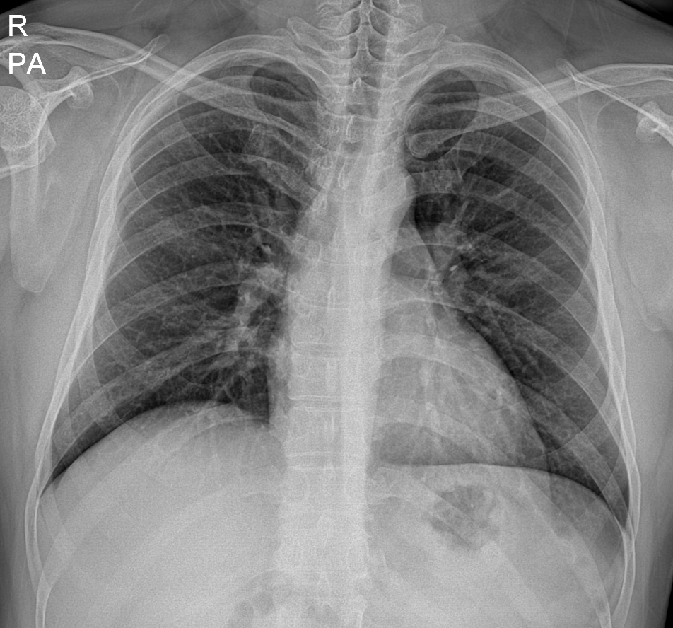
45세 남자

왼쪽부터 폐렴 진단 1년 전 흉부 엑스레이, 진단 당시 우상엽 폐렴




